Harley-Davidson Jyuku
晴旅人尊塾
旅人はお天道様を敬い尊び、晴れた日を最高!と歓喜し雄たけびをあげる
時にはこんなスタイルで乗っています。危ない!と・・・・なぁ〜に平凡なオヤジです
1945年生まれ、バイク歴は中学2年より!
 直近の交通違反キップ歴 (2012年11月現在
NHKEテレ「団塊スタイル」第一幕  第二幕 
2018/011/20
 HARLEYは2006年に新車に変わり,時間の経過は早い!です。
2015/07 2005/03 2006/01 2006/09 2007/01 2011/01
2007年1月7日初参り交通安全祈願」です。27年間、継続しお参りの宝登山神社
バイクの魅力?
走っている時の「」と「におい」、そして「」と「振動」!この4文字に尽きます
2005年に還暦を通過、そして2015年4月、還暦10年生、70歳を迎える!
紹介ファイル                                 HARLEYに乗って走る醍醐味「フアッション」
51歳から始めたパソコン
晴旅人尊塾                    
憧れの911                              2輪暦
HARLEYとフアッション                         最近のHARLEYと2輪暦
側車サイドカー
4輪暦
59歳からの挑戦                  1999年頭の手術を受けた8月
貴重な体験(生まれる前から死に直面)                            
同窓会(5年毎に行われる分校生同窓会の記録)
愛犬「らぶ」ちゃん
昭和36年3月足尾中学校卒業生同窓会の記録
2007年人生第二章はゼロからのスタート
2017年2月8日、4時間を超える大手術
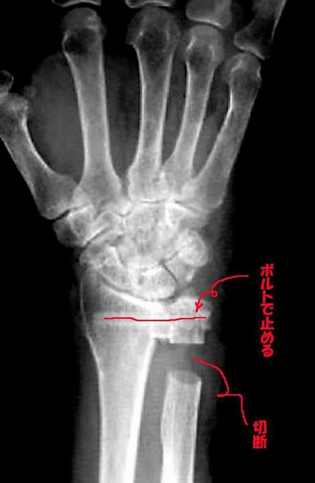
2017年1月5日、ハーレーのシート下にあるバッテリーを両手で掴んで取り出そうとした時、右手小指と薬指から鈍い「ブチッ」と音がした。その時は痛くなかったが数日すると、小指、薬指が「くの字」のままで真っすぐにしようとすると痛みが走り、その後、その痛みは激しさを増し、「手外科」のお世話になる事になった。精密検査結果、小指と薬指の「腱が切断」そして右手くるぶしの軟骨消耗!

手術しないと悪化する一方で「放って置くと右手が使えなくなる!そして4時間かけて写真の手術であった。

何でこんな手手術を!

12歳から乗り始めたバイク人生、御年72歳、60年間乗り続けた「勲章」

右手首くるぶしがすり減り、炎症を起こし、膝のお皿が減るようなもの、回復に兆しなし。

ボルトやナットで固定し、右手の骨の一部切断で空間を作り、この部分が摺動してくるぶしの役割を果たす、その手術であった。

当初は「小指の腱は切断されている」と言う症状であったが、検査していくうちに「くるぶしの不都合」も露見で、腱切断修正は腱移植手術と一緒行い、再度手術をしないで済むよう主治医が取り図ってくれた。

その主治医は40歳そこそこで「手外科の専門医」。

手外科と言う専門分野、近年のジャンルそのなかでも権威者のようで、手手術の回数もスバ抜けた数で毎日、6件以上の回数。

8日も6人の患者さんの手手術を行い、私の場合「3時間以上を要する手術」と言う事でその日、最後であった。

くるぶし部分の摺動で炎症!原因は・・・・・・・

「60年のバイク人生のなりの果て」でアクセルワークが大きな要因と考えられ、その繰り返しで骨がすり減ってしまった。

この歳になり人生の軌跡的副産物、

人より多くを楽しみ経験値を得て来たが、今回のあまり例のない手手術、また一つ、かけがえの無い経験をプラスして更なる経験値の蓄積なり。

今朝はすっかりと麻酔薬の影響を失い、正常の生活、

骨の切断やボルトやナットで固定処置、この周辺が右手の角度により、強烈な痛みが襲う。

これには「参った!」であるが3日、4日の辛抱なり!

6回目の年男は72歳!

飛行機大嫌い!の謎
良く人に言われるのだが「なぜ海外旅行をしないの?」謎だ!と・・・・
それには訳があるのです。昭和47年27歳の時、初めての海外旅行で飛行機事故寸前の恐ろしい目にあってから「飛行機に乗る」のは恐怖症となってしまいました。ビジネスマンであった若い頃でも、飛行機が認められた出張は人より早く起きて「新幹線の利用」でした。今でも飛行機は見ただけで「嫌!」・・・・・・死んでも飛行機には乗らないゾ〜。

番外編
私の一大信条・・・・精神を勝る者、全てを征す!

アホな人生かなぁ〜
昭和47年、27の時であるが、1銭も無いのに家を建てた。今は存在しない「埼玉銀行」で、建てた家を担保にパーフェクトローンと言うシステムがあり、この融資システムを活用しての1軒目である。敷地56坪建坪22坪と言う27歳の私にとって上出来のマイホームである。2軒目は昭和59年で39歳の年に、これは「建て替え」であった。今までの敷地に33坪の家を,実はこの家を建て換える数年前に大変な事をしでかしたのです。相場物に手を出しウン千万円と言う「借金」が出来、自殺寸前まで追い込まれたどん底を経験しました。天性のガンバリズムで何とか乗り切り、自殺しないで済みました。そして3軒目は150坪の敷地に平屋の40坪の家である。この3軒目、これは1995年平成7年50歳の時です。更には4軒目、2006年12月61で熟年離婚し元妻と息子の住む家を建てたのです。敷地8744坪の広さで、勿論,元妻と息子の2人が住むに十分過ぎるくらいの広さで、これは協議離婚の条件でした。

人生それぞれ、そして人もそれぞれ!だが、振り返って見ると「夜も寝ないで仕事」をしたが何の苦労も感じず歩んで来たノーテンキ人生、そして楽天人生と思う。人生の折り返しは60歳、それから10年、今70歳を通過し「人生120歳!120歳!」を本気で生き抜くその「業」に挑む認識を新たにしたのである。

妻は20歳以上離れた年下、決して君より早く現世を去る事はしない、と言う「誓いのもと」で再婚しそれから8年だが、健康長寿の秘訣〜

食べ過ぎない欲かき過ぎないものぐさしない」・・・これが私の口癖そして医療費のお世話にならない!コレ勿論生き様です。このところ病気に縁無し、そして高校生当時が健全健康の理想体型像、その体型に蘇り人生120歳を目標に絶対元気で生き抜いて見せるぞ〜と。


日常の記録〜私の健康日記
健康を推し計る数値
2007年2月7日測定
70歳の記録
身長 体重 体脂肪率 基礎代謝 内臓脂肪 筋肉量 推定骨量
178cm 67kg 10% 1689kcal レベル8 58s 3.1kg
2009年4月30日測定
178cm 66kg 10% 1680kcal レベル 58kg 3.1kg
2011年2月1日測定
178cm 67s 10% 1680kcal レベル7 58s 3.1s
2012年4月25日測定
178cm 67s 10% 1690kcal レベル6 57s 3.1s
骨と皮の「スジ太郎さん」と思われたりすると困りますので、この数値を見て頂きたい。痩せすぎでも太り過ぎでも、病の要因となる因子の可能性があり、行き着くところは「トータルバランス」です。
タニタ製体重計に基ずく数値ですが、内臓脂肪は平均値4〜9やや過剰10〜14過剰15〜・・・この数値はアルコールを摂取したかどうかで大きく「差」が出たりします。ただの「痩せ」とならないよう体重に対しての筋肉量、基礎代謝の数値、骨量等の数値のバランスが「健全健康体の目安」とし,風呂上りには体重計でチエックです。高校生当時が一番健全健康の体型を信じるものは、当時と比較し「身長は同じだが体重が7`」増えている事が判明。
 読売新聞記事より抜粋・・・・・・貴方のポッコリお腹は?
「ぽっこりおなか」要注意!日本人の30%、米国などの他の先進国では85%が肥満とされる。体に蓄積する脂肪は2種類ある。筋肉の外側につく「皮下脂肪」と内臓周りにつく「内臓脂肪」だ。要注意なのは内臓脂肪。七福神の布袋様は富の象徴だが、それが「貴方も同じ形態」となると問題が出てくる。肥満はガン、心臓病、脳卒中、高血圧、糖尿病など20種類以上の病気発症の引き金に。おなか「ぽっこり」と出ている方は体重少なくてもイエローカード!。
次へ
ホームへ