治癒反応の項目で説明したように、通常の方法では上皮が創面を被覆するスピードが早いため、接合上皮性付着となります。創面を修復するスピードを例えるならば、上皮が馬、歯槽骨が成人、歯肉結合組織が赤ちゃんのハイハイ、歯根膜は亀であるといえます。
上皮の創面への進入を膜(誘導膜、バリヤー膜、遮蔽膜、メンブレンなどと呼ばれています)で遮断し、歯根膜由来の細胞から新生セメント質が形成され、新付着となるための空隙を確保する方法を組織再生誘導法といいます。英語のguided
tissue regenerationの頭文字をとってGTR法ともいいます。

GTR法の適応は2度の根分岐部病変(主に下顎大臼歯)と2壁性および3壁性骨欠損です。骨欠損の形態については下のコラムを参照してください。
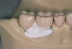
GTR法では術後の歯肉退縮によるメンブレンの露出を避けるために、歯肉溝切開のみとします。スケーリング・ルートプレーニング(SRP)後にメ ンブレンを設置します。メンブレンには非吸収性のものと吸収性のものがあります。非吸収性のものは後からメンブレンを除去するための二次手術が必要になり ます。最後にメンブレンが露出しないように歯肉弁の縫合を行います。歯周パックはメンブレンをつぶしてしまう恐れがあるため、GTR法では通常行いませ ん。

![]() |
![]() |
GTR法の治癒は修復になります。すなわち、象牙質とは接着していない有細胞セメント質による新付着と歯槽骨の新生がおこります。 近年、エムドゲインの概念(エナメルマトリックス抽出物を用い、象牙質と接着性の高い無細胞セメント質を誘導する方法)が発表されるまで、GTR法の治癒 は再生であると考えられていました。しかし、現在ではGTR法をguided tissue regenerationではなく、guided tissue repair(組織修復誘導法)であるとする意見もあります。

骨欠損形態の分類法のひとつに、残っている骨壁の数を基準にするものがあります。
1壁性〜4壁性骨欠損に分類されています。
![]() |
1壁性骨欠損 |
![]() |
2壁性骨欠損 |
![]() |
3壁性骨欠損 |
![]() |
4壁性骨欠損 |
最終更新2013.1.9