実際の症例から治療計画の立案と計画の修正をみていきます。歯の左右上下と番号がわからないときは、こちらを参考にして下さい。
初診時44歳の男性です(1993年)。左下の奥歯(X線写真で矢印の部分)がぐらぐらすることを主訴に来院されました。
![]() |
||
![]() |
![]() |
![]() |
![]() |

初診時の歯周組織の状態を示します。チャートの根の長さは平均値から作成していますので、実際の患者さんの根の長さとは異なります。

1歯ごとに診断をして、確実に残せる歯、抜歯か残すか疑問な歯、抜歯する歯に振り分けます。
抜歯する歯 : 主訴の左下7番は周りの骨がなくなって浮いた状態になっており、保存不可能と判断して抜歯にしました。左下以外の8番(親知らず)は手前の7番の遠心面の ポケットを悪化させる原因になっていること、また将来、歯周外科を行うときに遠心側にメスを入れる余地がないことを理由に抜歯しました。現在であれば、自 家歯牙移植に使うことも考慮して、早期には抜きません。
抜歯するか残すか疑問な歯 : 下顎左右側の5番は内側に倒れこんでおり、4番か5番の状態の悪い方を抜いて矯正あるいはブリッジにより、清掃性の良い歯並びとすることを計画していたの で、初期治療中は両方残して様子をみることにしました。左下8番と右下7番は深いポケットが存在しており、歯周治療を行いながら様子をみることにしまし た。

最初、下のような治療計画を立てました。

実際の治療内容と修正点をみていきます。
初期治療は計画通りに進行しました。

歯周外科手術は最初に計画していた部位に加え、歯周ポケットの改善がみられなかった上顎前歯部にも行いました。内側に 倒れこんでいた下顎左右側5番を抜歯し、ブリッジで歯並びを治すことにしました。左下4番は歯周病の状態が悪化し、抜歯になってしまいました。上顎大臼歯 の分割抜歯は歯周外科手術時に確認したところ、左側は改善がみられ、根分岐部病変も1度となっていたので、そのまま残すことにしました。右側のみ口蓋根を 抜去しました。

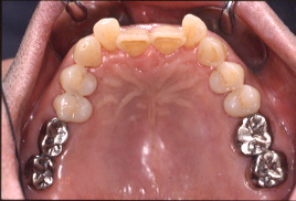
抜歯や分割抜歯を行った部位に、クラウンやブリッジを入れました。左上6番と7番は歯根分割をする予定で根管治療をし て仮歯を入れていたため、クラウンとなっていますが、結果的に不必要な処置となってしまいました。反省点として、もっと様子をみて確実に分割をする段階で 根管治療を行うべきでした。

7年経過した状態です(2000年)。
![]() |
||
![]() |
![]() |
![]() |
![]() |

最終更新2013.1.7