初診時36歳の女性です(1992年)。右下6番(X線写真で矢印の部分)が、かむときに痛いという主訴に来院されました。
![]() |
||
![]() |
![]() |
![]() |
![]() |

初診時の歯周組織の状態を示します。

1歯ごとに診断を行います。
抜歯する歯 : 右上と左下の8番(親知らず)は手前の7番の遠心面のポケットを悪化させる原因になっていること、また右上と右下の8番は2度の根分岐部病変が存在していても、それぞれの根が寄り過ぎていて分割が難しいことを理由に抜歯としました。
抜歯するか残すか疑問な歯 : 右上3番は歯列の外側に、左下5番は歯列の内側にそれぞれはみ出しており、また上顎前歯部の歯並びも悪いため、将来抜歯をしてクラウンやブリッジで改善す るか、あるいは矯正により歯並びを改善するかが必要と考えました。クラウンやブリッジの場合は抜歯となるため、疑問な歯にしました。左上2番はX線写真で 根の虫歯が大きく、その状態を実際にみてから抜歯かどうか判断することにしました。右下6番は根分岐部病変3度で根の分割抜歯が必要なため、疑問な歯にし ました。

下のような治療計画を立てました。

実際の治療内容と修正点をみていきます。
主訴の右下6番は根の病気が原因で痛かったので、その治療を優先させました。他にも、根の治療を途中で中断した歯や、 根の違和感があった歯の治療も、歯周治療に優先して行うことにしました。初期治療終了時に、患者さんが矯正治療までは希望しなかったため、右上3番と左下 5番を抜歯しました。左上2番も根の虫歯の状態がひどく、抜歯になりました。

歯周外科手術は計画していた部位に加えて、右上4番にも行いました。左上7番の根分岐部病変は歯周外科処置後に改善が認められたため、分割抜歯は行いませんでした。右下6番は遠心根を分割抜歯しました。

根管治療および抜歯や分割抜歯を行った部位に、クラウンやブリッジを入れました。

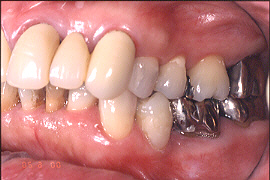
8年経過した状態です(2000年)。
![]() |
||
![]() |
![]() |
![]() |
![]() |

最終更新2013.1.7