疾患の関係因子

局所性修飾因子

 局所性修飾因子は口腔内に存在するもので、歯周病の悪化に関係するものを指します。
 炎症性因子咬合性因子にわけられます。
 炎症性因子には歯石解剖学的な形態異常歯の形態異常等があります。
 咬合性因子には咬合性外傷があります。

歯石

 歯石(=しせき)とはプラークが石灰化(=せっかいか; 石のように硬くなること)したものです。これは唾液や歯肉溝滲出液(=しにくこうしんしゅつえき; 上皮や結合組織を通して出てくる組織液)中にあるリン酸カルシウム等がプラークに取り込まれることによって起こります。早いものだと2週間、通常だと数ヵ月かけて硬くなります。歯肉縁より上の部分を歯肉縁上歯石、下の部分を歯肉縁下歯石といいます。

 歯肉縁上歯石と歯肉縁下歯石では石灰化の由来や性質が違います。それを以下の表に挙げます。

  硬さ 好発部位 石灰化の由来
歯肉縁上歯石 黄白色 軟らかい 唾液腺の開口部
(上顎大臼歯頬側面)
(下顎前歯舌側面)
唾液
歯肉縁下歯石 黒褐色 硬い 歯肉縁下プラークの
認められる部位
歯肉溝滲出液

 歯石自体に為害作用はありません。しかし、軽石のようなざらざらした表面はプラークを蓄積させやすく、また除去しずらくさせます。

歯肉縁上歯石

歯間部

舌側面に帯状に付着

多量に付着しているもの

 

歯肉縁下歯石

元は歯肉縁下にあった歯石が
歯肉退縮により歯肉縁上に露出。点状に付着。

帯状の歯肉縁下歯石が歯肉退縮により
みえ始めている状態。

右上の写真よりも歯肉退縮が大きい症例

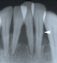
隣接面に付着している歯肉縁下歯石は
レントゲン写真で確認できることがある。

  

講義のメニューへ    ←前に 戻る    次に進む→


最終更新2012.12.31