E-10には4つの撮影モードが用意されています。シャッタースピードと絞りを自動的に調整するプログラムAE(automatic
exposure ; 自動露出)、シャッタースピードを自分で設定できるシャッター優先AE、絞りを自分で設定できる絞り優先AE、シャッタースピードと絞りを自分で設定できるマニュアル露出です。
できるだけパンフォーカスでの撮影を考えた場合、プログラムAEは難しいと言えますので、他の撮影モードについて検討していきます。以降の撮影は全てリングフラッシュと減光フィルター(ND-2)を使用しています。なお、画像の明るさはモニターの性能によって異なりますので、必要な部分にはヒストグラムを表示しました。
歯科用の銀塩一眼レフでのシャッタースピードは1/60秒でしたので、まずシャッター優先AEで1/60から1/640(E-10で一番早いシャッタースピード)まで撮影してみました。露出は自動的に決められるため、絞り(f)が変化します。ちなみに、シャッタースピードが早くなるほど、絞りは開放されていきます(fは小さな値になっていきます)。
|
|
![]() s1/125 (f2.4) |
![]() s1/640 (f2.4) |
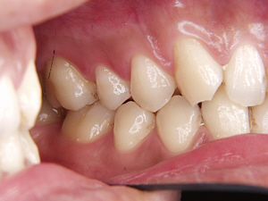
![]() s1/60 露出補正-3(f10) |
シャッター優先AEでは露出オーバーでしか撮影できませんでした。s1/60で露出補正を-3にすると、気持ち露出オーバーですが撮影できました。絞りはf10になり、被写界深度も深めです(E-10の最大はf11)。

次に絞り優先AEで撮影しました。被写界深度を深くするため、f11で撮影しました。
![]() f11 (s1/5) |
![]() f11 (s1/8) |
やや露出オーバーですが撮影できます。しかし、シャッタースピードが遅すぎるため、手ぶれをおこしてしまいます。

AE(自動露出)の場合、同じように撮影しても、上の写真のように露出が違ってしまいます(シャッター優先AEでは絞りが変化し、絞り優先AEではシャッタースピードが変化します)。これは同じように撮影しても、カメラ位置のわずかなズレで被写体から反射した光の量が異なることが原因です。
マニュアル露出はシャッタースピードと絞りをともに固定できるため、被写体の光の反射に左右されることなく、同じ条件での撮影が可能になります。
被写界深度は深いほうが良いので、f11に設定し、シャッタースピードを変化されてみました。
![]() s1/60 f11 |
![]() s1/100 f11 |
![]() s1/125 f11 |
![]() s1/160 f11 |
シャッタースピードが早くなるにしたがい、画像は暗くなってしまいます。s1/60 f11のヒストグラムでは、露出は良いのですが、諧調表現(色の濃淡)が少し狭くなっています。画像では大臼歯部の辺縁が暗く、少しわかりづらいといえます。

s1/60 f11では側方面観および咬合面観を撮影するとやや暗い画像となってしまうため、リングフラッシュの発光量を1/8に設定して撮影してみました。諧調表現の幅が広がっているのがわかります。
![]() |
![]() |
グレースケールに変換して比較してみます。
![]() ![]() s1/16 f11 フラッシュ1/16 |
![]() ![]() s1/16 f11 フラッシュ1/8 |
以上の結果から、マニュアル露出モード(M)でシャッタースピードを1/60、絞りをf11、リングフラッシュの発光量を1/8としました。