症例1
上顎に1本のみ歯が残っていますが、ほぼ総入れ歯です。りんごなどとても噛めませんでした。
![]()
上顎に11本のインプラントを植立しました。
もう入れ歯ではありません。りんごも丸かじり出来ます。
上顎は右犬歯以外すべてインプラントです。
お口の写真をご覧いただいても、どこがインプラントかわからないと思います。

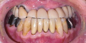
症例2
上顎にはマグネットタイプの入れ歯が入っていましたが、違和感も強く
漬物や繊維質の食品はとても食べられませんでした。

![]()
上顎に8本、下顎に3本のインプラントを植立しました。
見た目も自分歯と区別がつかずとてもきれいです。
漬物ももちろん食べられます。

〒064-0822
札幌市中央区北2条西26丁目1-10 エレガンス円山1階
地下鉄東西線西28丁目駅
3番出口より徒歩5分
駐車場あり
TEL 011-614-8148