鮫島歯科医院
う蝕と歯周病の予防
[う蝕の予防]



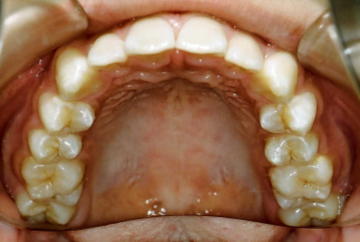
上の写真は、私(院長)の子供が12歳の時の写真です。
乳歯列の時を含めてむし歯ゼロです。
@フッ化物配合ハミガキを用いた仕上げみがき(小学6年生まで)
A水分補給は麦茶(ジュース類で水分補給はしない)
Bだらだら食べない
以上3点に気をつけて、むし歯ゼロを目指しましょう。
正しい知識があれば、そう難しくはありません。
[フッ素(フッ化物)の話]
日本では、1994年までは、ハミガキ(粉)等にフッ素が配合されていませんでした。
1994年に、厚生省が1,000ppm以下でのハミガキ(粉)へのフッ素の配合を承認しました。
そして、2018年3月に厚生労働省が、フッ化物配合の薬用ハミガキ類について、国際基準と同等の1,500ppmを
上限とした商品を医薬部外品として承認しました。
小学生には、フッ化物配合濃度が1,000ppmに近いハミガキを、中学生以上の方には、フッ化物配合濃度が
1,500ppmに近い薬用ハミガキのご使用をおすすめします。
フッ化物配合ハミガキを使用して、しっかり歯を磨いていれば、特別な場合を除いて、
歯科医院でのフッ化物塗布の必要はないというのが当院の考え方です。
[歯周病の予防]

[ワンタフトブラシ使用のすすめ]
■当院おすすめの歯みがき方法(フッ化物配合ハミガキを使用)
@ワンタフトブラシを用いて歯と歯の間、歯と歯肉の境目、奥歯の後ろ側など細部を丁寧に磨く。
Aフロス(糸ようじ)や歯間ブラシを用いて歯と歯の間を磨く。
B普通の歯ブラシまたは電動歯ブラシを用いて全体を磨く。
水でお口を軽くゆすいだ後、
Cデンタルリンスを用いる。