|
⇒ | ![]() |
⇒ | ![]() |
|---|---|---|---|---|
![]() |
⇒ | |
⇒ | |
![]() |
⇒ |
![]() |
⇒ |
![]() |
![]() |
⇒ |
![]() |
⇒ |
![]() |
| Before | After |
![]() |
⇒ |
![]() |
⇒ |
![]() |
| Before | After |
![]() |
![]() |
![]() |
![]() |
|||
![]() |
![]() |
![]() |
![]() |
![]() |
![]() |
|
![]() |
![]() |
|---|---|---|
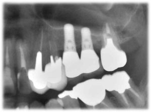
| 術前 | ソケットリフト手術 | 術後2年歯根周囲骨造成良好 |
質問、メール等はココをクリックしてください