
差し歯の治療
ここで説明する差し歯とは、歯が虫歯や外傷などで無くなった場合に、残った「根っこ」を使って取り外しをしない「固定式」の歯を入れることです。
いわゆる一本の「差し歯」をセラミックで作ったり、少数の歯が無くなった時に入れる「ブリッジ」も含まれます。
わたしたちはそのような治療をする時にも、矯正治療の診断の時にするような「セファロ」という規格撮影したレントゲンを用いて診断します。
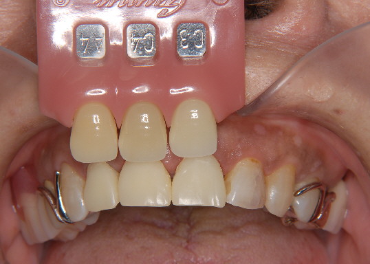
他の症例紹介です。




前歯3本に古い差し歯が入っていますが、縁は欠けており、
さらに周囲の歯の虫歯も気になります。
中央の歯の間には黒い3角形の隙間があり、目立ちます。
他の歯の治療中や噛み合わせを整える間は仮の歯を
作製して、しばらくの間しのいでいただきました。
形だけでなく、歯の色、歯肉の色もよく観察して、歯科技工
士と綿密に打ち合わせをしながら歯をつくります。
最終的に装着された歯は他の歯と見分けがつかない
ほどキレイです。歯の間の黒い3角形も改善しています
し、周囲の虫歯も歯と同じ色で修復しました。