
インプラント治療の専門クリニック
医療法人社団インプラントオフィス
うめや歯科クリニック
札幌市西区西町南5-1-20 ?011-663-6203
札幌でインプラント治療の理想を求めて
Case Presentation
数多くの症例に接して感じることは患者さん自身が「インプラントを大切にしよう。」
とする気持ちがあるかどうかということが最も大切なのだということです。
一方、先生に任せておけば何をしても大丈夫と思っている患者さんは最も危ない。
自分健康は自分で守っていくという姿勢はとっても大切なことで、
「大事に使っていく」という自覚は大切です。
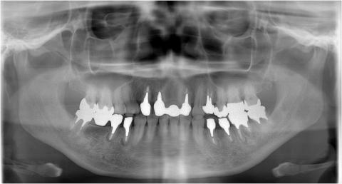
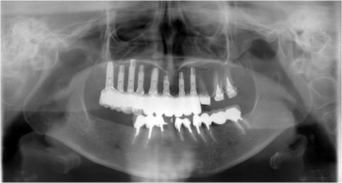
インプラント部分欠損症例
インプラント治療の未来形
このページに提示してある症例はすべてインプラント治療の未来形
フラップレス・無痛手術を行っております。
プレミアム インプラント 札幌
手術当日
「明日株式総会の議長をすることになっているので・・・腫れないですよね・・・」
とかいろいろな質問をされる方がおりますが、先生側・患者さん側ともに常識的な判断が必要だと思います。
この患者さんの場合、「全く腫れず、株式総会は終了できた。」ということを後で報告を受けております。
議長挨拶の際、昨日インプラントの手術を行ったことを報告したところ、
会場から「本当かよ???」という声があったようです。「でも、全く腫れなかったわ・・・」とのこと。
終わり良ければ全て良し。ということでしょうか。
下顎両側臼歯部のインプラント治療
ケース1


下顎片側臼歯部のインプラント治療
ケース2


上下顎両側臼歯部のインプラント治療
ケース3


上顎片側臼歯部のインプラント治療
ケース4


下顎片側臼歯部のインプラント治療
ケース5


上顎片側臼歯部のインプラント治療
ケース6


下顎片側臼歯部のインプラント治療
ケース7


上顎片側臼歯部のインプラント治療
ケース8


下顎両側臼歯部のインプラント治療
ケース9

