|
@
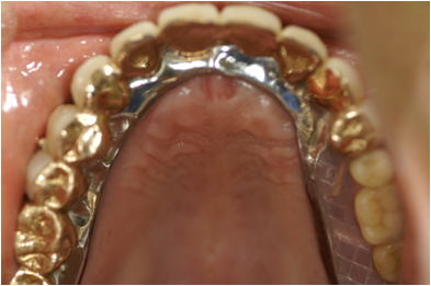
Konus & Magnet Removable Bridge
ƒR[ƒkƒXŽ¥ÎŽ®“ü‚ꎕ‚ƃCƒ“ƒvƒ‰ƒ“ƒgEƒRƒ‰ƒ{
 
 
 
ã‹L‚ÌÇ—á‚ÍAã‚ ‚²‰E‘¤‰œŽ•‚ª‚È‚¢A‚µ‚©‚à‰º‚ ‚²¶‘¤‰œŽ•‚ª‚È‚¢B
‘OŽ•‚¾‚¯ã‰º‚Ì‚ ‚²‚É‹¤’Ê‚µ‚ÄŽc‘¶‚µ‚Ä‚¢‚éu‚·‚êˆá‚¢™ù‡ˆê•àŽè‘Ovó‘ÔB
㉺Š{‚Ì‚·‚êˆá‚¢™ù‡‚ÍA“ü‚ꎕ‚̈À’諂𑹂˂é‚à‚Ì‚ÅA‹`Ž•‚ðŽg‚Á‚Ă̒ɂ݂ð¶‚ÞB
ƒCƒ“ƒvƒ‰ƒ“ƒg‚É‚æ‚é•â’Ô‚Í‚·‚êˆá‚¢™ù‡ˆê•àŽè‘O‚ÌŠR‚Á‚Õ‚¿ó‹µ‚ð‹~Ï‚·‚é•û–@‚Æ‚µ‚ÄAŽ„‚ÍD‚ñ‚ÅŽg—p‚µ‚Ä‚¢‚éB
|