| 奥歯を作っている所です。この青い器械は「咬合器」という物で、下顎の動きを再現する事ができます。人間の下顎は単に開閉するだけではなくて、前方や側方にも動きます。それに合わせて咬みやすい歯を作るのです。 | ![]() |
| 「総入れ歯」を作っている所です。 | ![]() |
| この咬合器はより高級な物で、患者さんごとに顎関節(下顎頭)の動きを調整する事ができます。下顎頭の前方移動や側方移動に対する角度を個別に設定する事ができるので、より精密な補綴物(例えばインプラントなど)を作成する時に使います。 | ![]() |
![]() |
|
| この咬合器の関節部は人間の顎関節を模して作られているのです。 | ![]() ![]() |
| インプラントを作成している所です。 | ![]() |
| 珍しい物をお見せしましょう。歯の中にある神経ですが、正式には歯髄といいます。虫歯がひどくて取らざるを得なかったものです。太いとこのようにきれいに取れるのですが、大体は細くてちぎれてしまいます。それを全て除去するのが大変。後で痛みや炎症の原因になっては困るので専用の器具を入れて全ての歯髄を丹念に除去するのです。神経を抜いた後に歯内の清掃に時間が掛かっている場合は、これがとても細くて取りづらいからなのです。 | ![]() |
| これも歯髄です。 | ![]() ![]() |
| この歯髄は炎症がひどく、色が赤黒っぽくなっています。少し化膿した状態で、進むと壊死・融解・腐敗してしまいます。 | ![]() |
| この歯髄は乾燥してミイラ化しています。壊死してから何年も経過していると思われます。 | ![]() |
| これも同じです。 | ![]() |
| 今回の写真は下顎隆起です。下顎骨の内側が写真の様に出っ張っています。症状はありません。これは、歯でも根でも無く骨なのです。腫瘍ではないかと心配して相談に来る方もいらっしゃいます。しかしただの骨の出っ張りで腫瘍などの悪い病気ではありません。原因は不明ですが小さい物を含めると結構な頻度で出現します。下顎の場合はこの場所で、上顎の場合は真ん中(口蓋中央部)に多いです。 | ![]() ![]() |
| この骨隆起も大きいです。個数、形がほぼ左右対称に出現するのが不思議です。 | ![]() |
| 抜いた親知らずです。智歯ともいいますが、正式な名称は第3大臼歯と言います。根の先が90度も曲がっていましたので、折れないように抜くのが大変でした。骨は硬くて剛体の様に見えますが、実は少し弾性があり変形します。ちょうど若木の様な感じです。それ故に、この様に曲がった歯も抜く事ができるのです。 | ![]() |
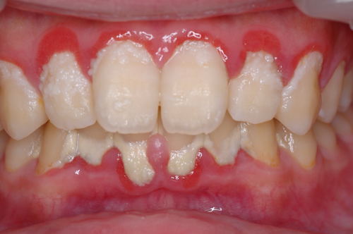
| これは重度の歯肉炎です。原因は多量の歯垢。ほとんど歯磨きをしていないと思われます。歯垢に触れている歯肉が赤くなっているのが分かりますか?炎症が起きており、少し触っただけで血膿が出、口臭もひどいです。歯肉がだいぶ弱っていますので、一番軟かい歯ブラシを使って歯垢を取ってください。歯肉のマッサージも少しずつやらないと健康な硬い歯肉には戻りません。 頑張ってください。 |
![]() |
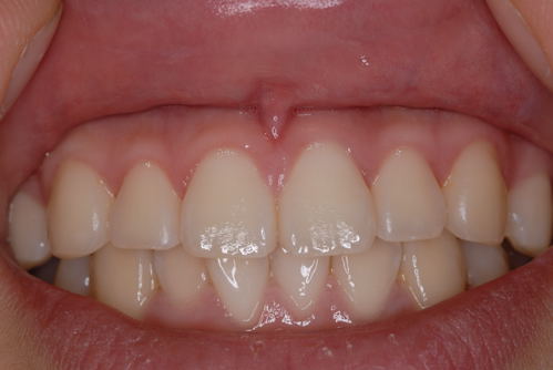
| 健康な歯肉です。色が全然違いますね。健康な歯肉は薄いピンク色なのです。 | ![]() |
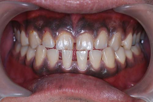
| こちらの歯肉は黒いです。歯周病、歯肉炎は無いのですが、真っ黒です。喫煙者の歯肉ですが、タバコのヤニが直接沈着するのではなく、ニコチンやタールの刺激でメラニン色素が沈着するのです。いくら歯磨きをしても取れません。タバコを止めれば徐々に治っていきますが、かなり時間が掛かると思います。喫煙者は歯周病にも罹患しやすいので、タバコは止めるに越した事はありません。 | ![]() |
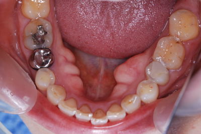
| 歯根破折の症例です。時々歯肉が腫れて痛む、咬むと痛いという症状があります。虫歯も無いのにおかしいなと思ったら、歯が割れていたなんて事があります。レントゲン写真で分かる場合もありますが、抜歯して初めて分かる場合もあります。元々健康な歯でも割れる事もありますので、硬い食べ物には気を付けましょう。 | ![]() ![]() ![]() ![]() |
| 真ん中の赤い球状の物は、血腫です。いわゆる「血豆」ですが、口腔内にもできます。間違って頬粘膜を咬んだためにできたのですが、この様に歯と同じ位の大きさになる事があります。このままですとじゃまですし、さらに大きくなる可能性がありますので、切開して中の血液を排出させます。すぐにすっきりと楽になり、傷も数日で治ります。 | ![]() |
| これも血腫ですが、今まで私が見た中で一番大きい物ですね。 | ![]() |
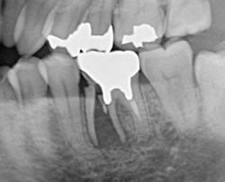
| この症例は、歯根嚢胞という物です。袋状の病巣で中に滲出液が溜まります。歯の中に入り込んだ細菌が原因でできるのですが、骨が溶かされて穴が開きます。根の消毒だけでは治らない場合は、外科的に摘出をします。 | ![]() |
| 新しいPCを作っている途中です。。 できるだけ小さく省エネの物を作りました。 マザーボード:Mini-ITX CPU:Intel Core i5-4690(オーバークロック無し) メモリー:8GB 起動ディスク:SSD240GB OS:Windows8.0 64ビット です。 データーはNAS(LAN接続のハードディスク)に入っています。 SSDは一度使うともう止められません。ハードジスクに比べてかなり速いです。 |
![]() |
| 最近のCPUにはGPUも付いていますので、グラフィックボードの増設が要りません。他の拡張ボードも必要ないので、Mini-ITXでも十分です。小さいのに高機能なPCができます。中は鮨詰め状態ですが。 パーツを買ってきて自分で組み立て、OSからアプリケーションのインストールまで全てやります。もちろんこのホームページも自分で作成しました。 |
![]() |
| ケースは「abee」の「acubic」 | ![]() |
| これで完成。 CTのクライアントPC(説明用コンピューター)として使っています。 |
![]() |
| LANケーブルは床下配線にしました。 | ![]() |
| モジュラージャックも自作。 この方法ですと、床や壁に開ける穴が必要最小限で済みます。 |
![]() ![]() ![]() |
| HUBも床下に配置。 | ![]() |
| 歯肉膿瘍です。細菌が歯の中に入り込み、骨に膿が溜まると、外へ出ようとして腫れてきます。歯の中の消毒を数回やると治ります。 | ![]() |
| これは、過剰歯です。おまけの様な小さい歯が余分にできる事があります。不思議ですね。 隣の歯にくっついている事もあり、別になっている事もあります。 |
![]() |
![]() |
|
![]() |
|
| 平成30年1月新しいPCを組みました。 IntelのCPUが11年ぶりに大進化を遂げたそうで。 i5,i7は何と6コアになりました。i7は12スレッドです。 マザーボード:Mini-ITX CPU:Intel Core i7-8700K メモリー:16GB 起動ディスク:SSD500GB(M2形状のNVMe接続) OS:Windows10 64ビット |
![]() |
![]() |
|
| ケースは、「abee」の「AS Enclosure」 SSDも、またいつの間にか進化しており、M2 NVMe接続の物を使いました。メモリーの様にマザーボードに直接差すタイプです。 |
![]() |
| CPUはオーバークロックが可能なので、定格4.7GHzの所を全コア5.0GHzで使っています。かなり速いです。温度も低めで安定、ファンも低速で静か。 i3も4コアになりましたから、通常の用途であれば、これでも十分だと思われます。 |
![]() |
| 過去に作ったパソコンです。 | ![]() ![]() |
| PCケースは色々試しましたが、それぞれ一長一短です。用途に応じて使い分けます。 | ![]() ![]() |
| 共通しているのは、「小さくても高性能・省電力・静音」 | ![]() ![]() |
| 平成31年1月新しいPCを組みました。今回のテーマは大きくても超高性能なPCで、CPUは Intel の i9 シリーズに挑戦。Intel Core i9-9900Kで、何と8コア16スレッドです。こんな形のケースに入っているCPUは初めてですね。 | |
| 通常のケースはこれだけです。 | |
| かなりの発熱が予測されるので、大型の空冷CPUクーラーにしました。12cmファンのサイドフロータイプ。メモリーは、オーバークロックで有名な「G.SKILL」。 | |
| 中央の「970EVO」と書いてある部品が「M2形状のNVMe接続SSD」で、今後の主流になると思われます。 | |
| |
|
| でかいCPUクーラーのせいで、大きなケースになってしまいました。使った感じは爆速そのもの。何をするにも瞬時に反応し、気持ち悪い位。私の用途では完全にオーバースペックですが。 | |
| i9-9900Kは8コアですが、全て5.1GHzで動かしています。全負荷を掛けるとCPU消費電力は233Wにもなり、かなり発熱します。 | ![]() |