指関節脱臼

 

47才 女性

壁に突き指をして負傷、左第5指PIP関節(第2関節)を脱臼した。

 

     背側から(長軸像)                 掌側から(長軸像)

    患側         健側                患側          健側

5si-di-haisoku.GIF (8708 バイト)  5si-di-ken-hai.GIF (8993 バイト)        5si-di-shousoku.GIF (8326 バイト)  5si-di-ken-shou.GIF (8684 バイト)

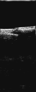
左が中枢で基節骨、右が末梢で中節骨。背側脱臼だった。

                                        

                                                

                       整復後

                                 背側          掌側

                                  5si-di-repo-hai.GIF (8829 バイト)    5si-di-repo-shou.GIF (8878 バイト)

   掌側からの長軸像では、皮下血腫がみられる。骨傷はみられなかった。

                   

                           

                     整復後X線写真

               正面                       側面

      x-5si-dislocation-shoumen.gif (31691 バイト)    x-5si-dislocation-sokumen.gif (39946 バイト)

           X線像においても、骨傷はみられなかった。

 

 

                home.gif (2139 バイト)      back03.gif (2377 バイト)